إعداد: الدكتور مهند الرفاعي
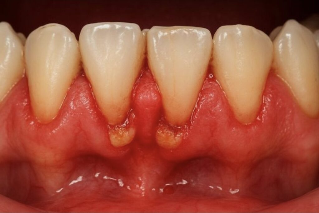
يُعد نزف اللثة من أكثر المشكلات الفموية شيوعًا، وغالبًا ما يُلاحظ أثناء تنظيف الأسنان أو استخدام الخيط الطبي. ورغم أن كثيرين يعتبرونه أمرًا بسيطًا، إلا أنه قد يكون مؤشرًا مبكرًا على اضطرابات صحية تتراوح بين التهاب موضعي بسيط وأمراض جهازية أكثر تعقيدًا.
أولًا: الأسباب الرئيسية لنزف اللثة
- التهاب اللثة (Gingivitis)
يُعد السبب الأكثر شيوعًا، وينتج عن تراكم البلاك (اللويحة الجرثومية) على الأسنان، مما يؤدي إلى تهيّج اللثة واحمرارها ونزفها بسهولة. - أمراض دواعم الأسنان (Periodontitis)
عند إهمال التهاب اللثة، قد يتطور إلى حالة أكثر خطورة تُصيب الأنسجة العميقة والعظم الداعم للأسنان، ما قد يؤدي إلى تخلخل الأسنان وفقدانها. - سوء العناية بالفم
عدم تنظيف الأسنان بانتظام أو بطريقة صحيحة يسمح بتراكم البكتيريا، وهو عامل رئيسي في النزف. - نقص الفيتامينات
خاصة فيتامين C (المرتبط بمرض الإسقربوط) وفيتامين K الضروري لتخثر الدم. - التغيرات الهرمونية
كما يحدث أثناء الحمل أو البلوغ أو انقطاع الطمث، حيث تصبح اللثة أكثر حساسية. - بعض الأدوية
مثل مميعات الدم (كالأسبيرين) وبعض أدوية الضغط أو الصرع التي قد تؤثر على صحة اللثة. - أمراض جهازية
مثل:
داء السكري
اضطرابات تخثر الدم
بعض أمراض الدم مثل اللوكيميا
ثانيًا: متى يصبح نزف اللثة خطيرًا؟
نزف اللثة قد يكون بسيطًا ومؤقتًا، لكنه يصبح مقلقًا في الحالات التالية:
استمرار النزف لفترة طويلة دون تحسن
ترافقه مع تورم شديد أو ألم أو رائحة فم كريهة
تراجع اللثة أو انكشاف جذور الأسنان
تخلخل الأسنان
نزف عفوي دون سبب واضح
في هذه الحالات، يجب مراجعة طبيب الأسنان فورًا لتجنب مضاعفات قد تصل إلى فقدان الأسنان أو انتقال العدوى.
يقوم طبيب الأسنان بإزالة الترسبات الجيرية والبكتيريا المتراكمة، وهو إجراء أساسي لعلاج الالتهاب.



ثالثًا: طرق العلاج
- تحسين نظافة الفم
تنظيف الأسنان مرتين يوميًا باستخدام فرشاة ناعمة
استخدام الخيط الطبي يوميًا
اختيار معجون أسنان مناسب للثة الحساسة - إزالة الجير (التنظيف الاحترافي)
يقوم طبيب الأسنان بإزالة الترسبات الجيرية والبكتيريا المتراكمة، وهو إجراء أساسي لعلاج الالتهاب. - استخدام غسول فم مطهر
يساعد في تقليل البكتيريا وتعقيم الفم، خاصة في الحالات الالتهابية. - التغذية السليمة
تناول أطعمة غنية بفيتامين C (كالحمضيات)
تعزيز فيتامين K والخضار الورقية - معالجة السبب الأساسي
في حال كان النزف مرتبطًا بمرض عام مثل السكري أو بسبب دواء معين، يجب معالجة السبب بالتنسيق مع الطبيب المختص.
رابعًا: الوقاية
زيارة طبيب الأسنان كل 6 أشهر
الإقلاع عن التدخين (عامل رئيسي في أمراض اللثة)
تجنب تنظيف الأسنان بعنف
شرب كميات كافية من الماء
خلاصة
نزف اللثة ليس مجرد عرض عابر، بل هو رسالة تحذيرية من الجسم. التعامل المبكر معه عبر تحسين العناية الفموية ومراجعة الطبيب يمكن أن يمنع تطور المشكلة إلى مراحل خطيرة تهدد صحة الأسنان وربما الصحة العامة.

More Stories
باحثون ألمان يطورون هلاماً حيوياً واعداً للمساعدة في ترميم الغضاريف التالفة
من المقاهي إلى عيادات الليزر… كوريا الجنوبية تتحول إلى وجهة عالمية لسياحة التجميل
إيبولا يخرج عن السيطرة في أفريقيا.. والصحة العالمية تدق ناقوس الخطر